Electron Microscopy
Transmission Electron Microscopy
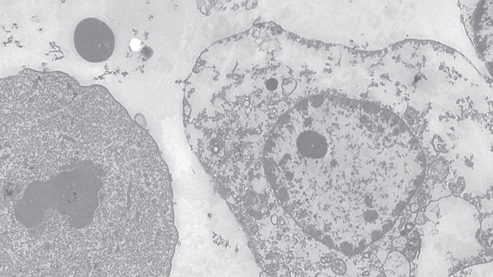
See the ultrastructure of life with the HITACHI T-7500. Cell organelles such as the mitochondria, golgi apparatus, and more appear distinct and identifiable. Advanced microtomy (sectioning a sample slice by slice) allows for detailed realization of the three-dimensional structure of biological tissue.


Scanning Electron Microscopy
Using a national standard SEM-EDS system, the HITACHI SU3500 provides clear topographical information at realizable magnifications at up to 35,000 times the naked eye. See the intricate structure and sculpturing of life. Additionally, the elemental analysis and backscatter detector capture important chemical information of a sample.
Electron Microscopy Careers
Electron microscopy (EM) is fundamental for several areas of research. Among biological research: neuroscience, microbiology, and cell biology benefit greatly from the increased resolution which these instruments provide. Outside of the life sciences: petrology, forensic elemental analysis, materials chemistry, and many other fields use EM systems regularly.
Becoming skilled in EM operation and sample preparation is possible here at SHSU. Start your journey towards becoming a professional in science research today.